Nacalai Tesque, Inc
-
Specifications:

Features
- Only 10 minutes with 400 V
- High transfer efficiency of proteins on western blot membrane
- Works well in conventional Laemmli running buffer and sample buffer
- 17-well gel is usable with multichannel pipet for consistent loading
>> Click here for the video of Bullet PAGE One Precast Gel vs Laemmli gel 16x
Performance Comparison
Bullet PAGE One Precast Gel can produce an excellent separation image with the shortest electrophoresis.Product Name Bullet PAGE One Company A Company B Gel % 5 - 15% 4 - 15% 4 - 12% Product No. 13079-84 - - Electrophoresis Time 11 min. 33 min. 50 min. Electrophoresis
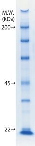
Images
<Electrophoresis condition>
Sample: Protein Markers(10x)(Prod No. 29458-24), 5 µl Gel Staining: CBB Stain One (Prod No. 04543) Voltage Constant: Bullet PAGE One: 400V, Company A and Company B: 200V Comparison of Protein Transfer Efficiency
Bullet PAGE One Precast Gel indicates obviously higher protein transfer efficiency than company A’s, even though blotting time was only 10 min.


<Sample>
① Protein Ladder One(Triple-color)(Product No. : 09547-74)
② Protein Markers(3x) 2 µl added
④ Protein Markers(1x) 2 µl added
⑤ Protein Markers(1/3) 2 µl added
<Transfer>
Use Semi ‐ dry Blotting Buffer Solution for Western Blotting (Product No.: 30650-31)
(Transfer time : 10 min. and 20 min. 10V)
<PVDF membrane staining>
Stain PVDF membrane with CBB Stain One (Product No. : 04543).Gel Types
Gel Gradient Gel Single Percentage Gel Gel % 5 - 11% 5 - 15% 6% 8% Product No. 13 well
17 well13077-04
13078-9413079-84
13080-4413081-34
13082-2413083-14
13084-04Electrophoresis Images 



Product Specification
Glass Plate Size: W100mm x H80mm x T3.2mm Gel Size: W80mm x H60mm x T1.0mm Sample Well Configuration / Maximum Load Volume: 13-well / 40 µl, 17-well / 28 µl -
Specifications:
-
Specifications:

StemFit® Basic Series by Ajinomoto: iPS/ES Cell Culture Media
High-Performance iPS / ES Cell Culture Media for Basic and Clinical Research
Under feeder-free culture conditions. StemFit®Basic02, Basic03, and Basic04 are capable:
Reprogramming, maintaining and differentiating human iPS and ES cells.
Features
- Weekend-free feeding
- Enabling single cell cloning
- Providing high colony forming efficiency
- Achieving high cost efficiency

Publication
Nakagawa, M. et al. (2014). A novel efficient feeder-free culture system for the derivation of human induced pluripotent stem cells. Scientific Reports 4, Article number: 3594.
http://www.nature.com/articles/srep03594?message-global=remove&WT.ec_id=SREP-20140114
Materials provided
Component
Volume
Storage
Liquid A
400 ml
Store at below -20 °C
Liquid B
100 ml
Store at below -20 °C
Note: This product does not contain basic fibroblast growth factor (bFGF)
Media preparation
StemFit®Basic02 and Basic03 are provided frozen as a 2 component set containing “Liquid A” and “Liquid B” and can be stored at below -20 °C until use. Use sterile techniques to prepare StemFit® medium.
- Before use, thaw the frozen medium supplements at room temperature or overnight at 2-8 °C. Do not thaw the frozen supplements at 37 °C, as it accelerates the degradation of medium ingredients.
- Aseptically mix medium components by adding the full volume of “Liquid B” to “Liquid A”. Mix thoroughly. If prepared aseptically, StemFit® is ready for use.
- Upon thawing, StemFit®Basic02 medium may be aseptically aliquoted and stored at below -20 °C. Thawed StemFit® may be stored at 2-8 °C for up to two weeks.
Optional: We recommend storing the medium protected from light - Before use, warm aliquots to room temperature and use immediately.
Highly stable and reproducible feeder-free culture system
Cells : Human iPS cell line 201B7 (seeding density listed in each experiment)
Surface: iMatrix-511
Medium: StemFit®Basic02
Passage technique: Single cell passaging with cell scraping, 0.5x TrypLE Select/EDTA


Easy transition from feeder-dependent to feeder-free culture

Feeder-dependent 201B7 iPSCs were transitioned to feeder-free conditions using respective cell adhesion substrates and seeded in StemFit®.
Superior performance
-
Superior growth performance on any matrices

-
Superior colony-forming efficiency from a single cell clone

Precaution and disclaimer
StemFit®Basic02 is for research use only and is not for diagnostic use, therapeutic use (including clinical research), or as a food. This product contains material derived from human plasma. Therefore, this product should be treated as potentially infectious agents and in accordance with universal handling procedures.
Referred protocols
- CiRA HP: http://www.cira.kyoto-u.ac.jp/e/research/protocol.html
- Nature Protocols: https://www.ncbi.nlm.nih.gov/pubmed/28005067
Testimonials

Ordering Information
Product Cat.No. Storage Quantity StemFit Basic02 BASIC02 -20°C Liquid A: 400 mL / Liquid B: 100 mL StemFit Basic03 BASIC03 -20°C Liquid A: 400 mL / Liquid B: 100 mL StemFit Basic04 (Coming soon) BASIC04 -20°C 500 mL -
Specifications:




